口腔外科

Oral surgery

皆さまの大切な歯を残せるよう取り組んでいます

口腔外科は、口腔内の疾患を診断し、治療する医学の一分野であります。

 

これには、歯、口、顎、顔面の疾患や障害が含まれます。

当医院では、患者さまの口腔内の健康を維持し、改善するための包括的なケアをご提供致します。

親知らずの抜歯

親知らずとは

親知らずは、最後に生える第三大臼歯のことを指し、しばしば口腔内でのスペース不足から問題を引き起こします。これにより、親知らずが完全には生えず、部分的に覆われた状態で留まることがあります。これは、感染のリスクを高め、痛みや腫れを引き起こす可能性があります。


抜歯は外科的な処置であり、局所麻酔下で行われます。


親知らずの抜歯は、個々の患者さまの口腔内の状態とニーズに基づいて行われます。すべての親知らずが抜歯を必要とするわけではなく、親知らずが問題を引き起こす可能性がある場合、または既に問題を引き起こしている場合にのみ、抜歯が推奨されます。

親知らずの抜歯は、口腔外科の一部であり、特に成人になるときに一般的に行われる手術です。


親知らずは最後に生える歯であり、しばしば口腔内で十分なスペースがないために、痛み、感染、歯の損傷、さらには顎の骨の損傷などの問題が発生します。


当医院では、親知らずの抜歯手術を行う際には、患者さまの口腔内の健康と快適さを最優先に考えております。


手術は通常、局所麻酔下で行われ、必要に応じて鎮静剤を使用することもあります。これにより、患者さまが手術中にリラックスし、不快感を最小限に抑えることができます。


親知らずの抜歯後の回復期間は、個々の患者さまとその特定の状況によりますが、一般的には数日から1週間程度です。

抜歯の基準

親知らずの抜歯は、その位置や角度、周囲の状況により手順が異なります。以下に、一般的な親知らず抜歯の流れを説明します。

 

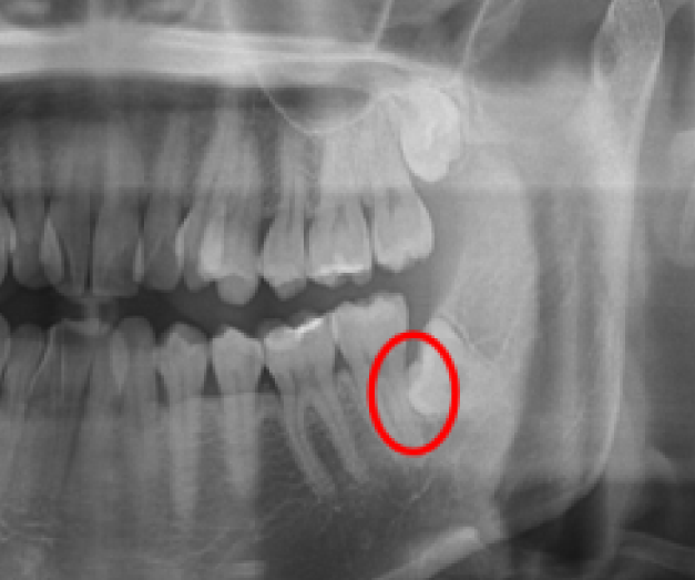
問診とレントゲン撮影:全身疾患やアレルギー、常用している薬などの確認を行います。また、レントゲン撮影を行い、親知らずの位置や角度、周囲の神経や血管の位置を確認します。

 

◆麻酔:親知らずの周りの歯茎に麻酔の注射をし、痛みや出血を抑えます。

 

◆抜歯:親知らずの位置や角度により、抜歯の方法が異なります。

 

◆まっすぐに生えている親知らず:10分程度で抜歯が可能です。

 

◆横向きに生えている親知らず:歯を砕きながら抜歯する必要があります。抜歯時間は約30分です。

 

◆骨の中に潜っている親知らず:被っている歯茎や骨を取り除き、親知らずを砕いて抜歯する必要があります。抜歯時間は約5分です。

 

◆縫合:抜歯後、傷口を小さくするために糸で縫います。

 

◆止血:ガーゼをしっかり噛み、出血を止めます。

 

◆消毒と経過観察:翌日に出血が止まっているか、感染していないかを確認し消毒をします。また、痛みや腫れの状態によって薬を増やしたり、変えたりして、早く症状を改善するようにします。

 

◆糸を取る:1週間ほど経つと親知らずを抜いた傷は小さくなってきますので糸を取ります。

 

以上が一般的な親知らず抜歯の流れですが、決して、親知らず=抜歯というわけではありません。

 

まっすぐに生えており、十分な清掃が可能な歯を無理に抜くことはありません。

 

また親知らずを残しておくことで将来的に入れ歯やブリッジの支えにしたり、移植するということも可能です。

 

患者さんによってさまざまな状況が考えられますので、違和感を感じたらまずは来院していただき、ご相談の上抜歯についてしっかり理解していただくことをお勧めします。個々の状況により異なる場合もありますので、具体的な治療計画は当医院にてご相談を承ります。

上部へスクロール